Crowns...

Absolutely
Experience Matters.
0
Crowns cemented... and counting ;)

Your Flower Mound Dentist

Owners of Today Dental

Today Dental Group Photo Flower Mound

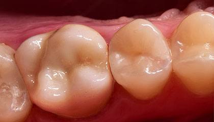
Crowns built to last!

With a commitment to perfecting the dental crown, we consistently incorporate the latest cutting-edge technology, ensuring you receive the best crown available on the market.

Dentists with experience

Extensive Continuing Education courses and collaboration with local labs has led to the perfect dental crown. We bring you years of hands-on experience, coupled with a dental team with an emphasis on smile makeovers.

Savings!

Savings on your finances take precedence at Today Dental of Flower Mound, as we make affordability a priority and commit to maintaining low costs that are passed on to you.

Yes, pain free!

We offer a variety of sedation options available, such as IV sedation, conscious sedation, and nitrous oxide. As your reliable dentist in Flower Mound Texas, we are committed to ensuring that your visit is not only pain-free but also comfortable.

Reduced appointments

At Today Dental of Flower Mound we use the latest advancements in dentistry, we’ve optimized the crown procedure and fine-tuned our business practices, leading to a reduction in time spent in the dental chair.

Conservative design

Looking for a conservative dentists? Look no further. We always take the conservative approach especially when it comes to placing dental crowns. We keep as much tooth structure as possible so you keep your natural teeth for decades to come.

Great Crowns are Backed by Great Warranties

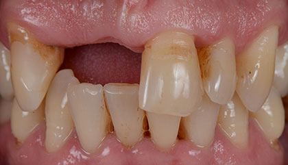
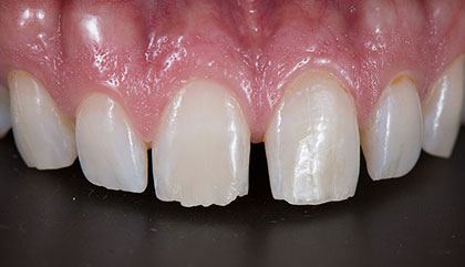
before
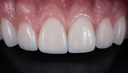
after
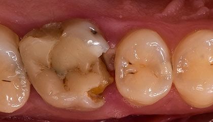
before
after
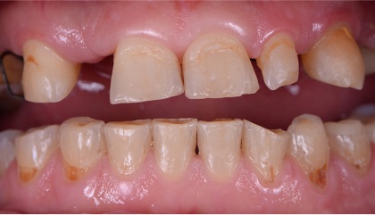
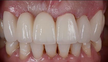
before
after
before
after

Opening Hours

DayHours
Monday8:30 a.m. - 5:30 p.m.
Tuesday8:30 a.m. - 5:30 p.m.
Wednesday8:30 a.m. - 5:30 p.m.
Thursday8:30 a.m. - 5:30 p.m.
Friday8:30 a.m. - 3:00 p.m.
Saturday8:00 a.m. - 2:00 p.m.
SundayClosed

YOUR Flower Mound TEAM

Flower Mound Office
Flower Mound Office
Flower Mound Office
Flower Mound Office
Flower Mound Office
Flower Mound Office
Flower Mound Office
Flower Mound Office
Flower Mound Office
AP
Asvini P.

Went there today for an emergency visit .Got the same day appointment which was very convenient. Dr.Kim was very good and explained everything very well. All the staffs are very friendly and helpful. Will definitely recommend this clinic.

AG
Alfonso G.

Really great service. Everyone was super friendly and helpful. I just moved to the area and I am glad I found a new dentist.

KJ
Kristina J.

The staff at this location are exceptional in every way! Visiting the dentist is rarely fun but they make it fun and always make me and my entire family feel so comfortable! I highly recommend Today Dental to everyone!

JG
Joyce G.

Accommodating as to schedule, personable as to style of patient engagement, responsive as to questions and concerns, and talented and competent as to current application of best practices. A delight overall.

You’ve made it this far. . .

FREE Teeth Whitening

Just ask at your first visit

Your Flower Mound CROWN & Bridge EXPERTS

Frequently Asked Questions

How long does it take to get a dental crown?

Crowns and bridges typically involve two appointments spaced a few weeks apart. However, emergencies like chipped front teeth might allow for quicker completion of crowns. While some clinics offer same-day solutions, our experience emphasizes the superiority of crowns crafted in our on-site lab using high-heat techniques. At Today Dental of Flower Mound, prioritizing long-lasting functionality and optimal patient care is our top priority.

Concerned about the cost of crowns?

Compared to root canals with crowns, implants, or dentures, dental crowns are often more budget-friendly. We understand the importance of affordability. Today Dental provides various options to accommodate your financial needs, including an in-house savings plan and flexible payment plans. Additionally, crown pricing varies depending on the location in your mouth and the chosen material, like porcelain or zirconia. Cash-paying patients can expect costs within a range of $900-$1,400, while those with dental insurance may benefit from reduced costs.

Curious about your initial visit?

Efficiency is a hallmark of Today Dental of Flower Mound. Upon arrival, you'll be greeted and escorted to the treatment area. To gain a comprehensive picture of your oral health, we'll take digital images and X-rays. The dentist will then perform a thorough examination, inquiring about any potential discomfort you might be experiencing. If decay or fractures are identified, crown treatment might be recommended. In most cases, we strive to initiate treatment on the same day, reflecting our commitment to prompt and efficient care. Following tooth preparation for the crown, a temporary restoration will be placed, and an impression will be taken. You'll then return in 2-3 weeks for permanent crown placement.

Confused about dental bridges and their purpose?

Imagine a dental bridge as a solution similar to a crown, but designed to address the gap created by missing teeth. It consists of two or more crowns cemented to the teeth flanking the gap (abutment teeth) and one or more artificial teeth (pontics) filling the space between them. The abutment teeth act as anchors, while the pontic effectively restores the appearance and functionality of the missing tooth/teeth. Bridges can be crafted from various materials, including porcelain or zirconia, and are securely attached to natural teeth for optimal stability. While dental bridges offer a convenient solution for replacing one or two missing teeth, they might not be suitable for restoring numerous missing teeth. A dental professional can offer further guidance in such cases.

Unsure if a dental crown is the right choice for you?

At Today Dental of Flower Mound, we prioritize conservative approaches, aiming to preserve as much healthy tooth structure as possible. We believe natural teeth offer unmatched functionality and durability. So, why consider a dental crown? Firstly, crowns act as tooth preservers, protecting existing tooth structure compared to alternatives like implants or dentures that require tooth extraction. Additionally, crowns offer a straightforward and efficient solution to reinforce weakened, cracked, or decayed teeth. Furthermore, they can enhance both the aesthetics and functionality of your smile, allowing you to regain confidence and comfort.