Implants…

Absolutely!
Experience Matters.
0
Implants placed... and counting ;)

Your Flower Mound Dentist

Owners of Today Dental

Today Dental Group Photo Flower Mound

Stable and strong implants!

At Today Dental of Flower Mound, your confidence in smiling and eating is our priority. No compromises on quality – just the latest in dental implant technology and an exciting range of hydroxyapatite-coated titanium options!

Efficient implant process

Our advanced methods make implants quicker and reduce the number of appointments. Maximize family time, minimize dental chair time!

Painless implants

Fear the dentist? Not on our watch! Enjoy your implant appointment with our sedation options – IV sedation, conscious sedation or nitrous oxide. Your Flower Mound dentist is going to make your experience pain-free.

Experienced dental implant clinician

Form, function, and beauty – that’s our dental mantra. Countless hours in education and teamwork with local labs shows we go the extra mile to place the perfect dental implants at Today Dental of Flower Mound!

Lower cost implants

Your dream smile, your dream price – at Today Dental, we make it happen! Our efficient implant process not only is designed to last but keep your savings intact. Cheers to affordability!”

All-on-four and single implants

Need one, multiple implants? Need an overdenture or the famous All-On-Four? We’re the masters at creating a treatment plan that fits your needs like a glove.

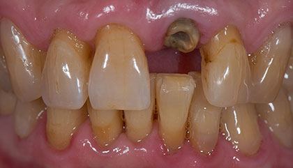
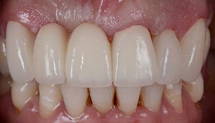
Love Your Smile, Love Your Implant

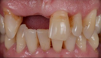
before
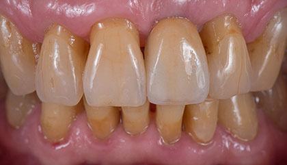
after
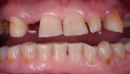
before
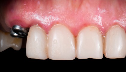
after
before
after
before
after

Opening Hours

DayHours
Monday8:30 a.m. - 5:30 p.m.
Tuesday8:30 a.m. - 5:30 p.m.
Wednesday8:30 a.m. - 5:30 p.m.
Thursday8:30 a.m. - 5:30 p.m.
Friday8:30 a.m. - 3:00 p.m.
Saturday8:00 a.m. - 2:00 p.m.
SundayClosed

YOUR Flower Mound TEAM

Flower Mound Office
Flower Mound Office
Flower Mound Office
Flower Mound Office
Flower Mound Office
Flower Mound Office
Flower Mound Office
Flower Mound Office
Flower Mound Office
AP
Asvini P.

Went there today for an emergency visit .Got the same day appointment which was very convenient. Dr.Kim was very good and explained everything very well. All the staffs are very friendly and helpful. Will definitely recommend this clinic.

AG
Alfonso G.

Really great service. Everyone was super friendly and helpful. I just moved to the area and I am glad I found a new dentist.

KJ
Kristina J.

The staff at this location are exceptional in every way! Visiting the dentist is rarely fun but they make it fun and always make me and my entire family feel so comfortable! I highly recommend Today Dental to everyone!

JG
Joyce G.

Accommodating as to schedule, personable as to style of patient engagement, responsive as to questions and concerns, and talented and competent as to current application of best practices. A delight overall.

You’ve made it this far. . .

FREE Teeth Whitening

Just ask at your first visit

Your Flower Mound DENTAL IMPLANT EXPERTS

Frequently Asked Questions

How long does the dental implant journey take?

While multiple appointments are involved, the exact timeline varies based on your unique situation. Typically, five key steps are involved, though some individuals might only require three depending on their existing bone health and other factors. Each step has an average healing period ranging from three to six months. Most patients at Today Dental of Flower Mound complete the process within four to five months.

What's the cost involved in dental implants?

Implant costs can vary depending on individual needs. They typically range from $1,200 to $2,500 per implant, but this may not include additional procedures like extractions, bone grafting, abutments, or the final crown. Recognizing cost concerns, Today Dental of Flower Mound is dedicated to making implants accessible through various options. We work with your budget to explore ways to make implants affordable, help you maximize your dental insurance coverage to minimize out-of-pocket costs, and offer our in-office CareDent Plan for additional discounts on your treatment.

What happens during the first visit?

During your initial consultation, we'll conduct a thorough evaluation of your bone health, gums, and overall oral health to determine if implants are the right choice for you. We'll also present a transparent treatment plan outlining the necessary steps, timeline, and associated costs, ensuring there are no hidden fees. Whenever possible, we strive to streamline the process by initiating treatment on the same day, minimizing the number of appointments required.

Why choose dental implants?

Dental implants offer several advantages compared to other tooth replacement options. They provide a natural look and feel, closely resembling natural teeth in both appearance and function. Additionally, with proper care, implants have a high success rate, making them a durable and reliable long-term solution for missing teeth.

Will it be painful?

Your comfort is our top priority. Our experienced dentist utilizes cutting-edge technology and techniques to minimize discomfort throughout the entire implant process. Additionally, we offer various pain management options, such as local anesthesia, sedation dentistry, and nitrous oxide, to ensure a comfortable experience for every patient.