Dental Cleanings

Never Felt So Clean

Your Flower Mound Dentist

Owners of Today Dental

Today Dental Group Photo Flower Mound

Latest Ultrasonic cleaning technology

Today DentalToday Dental of Flower Mound. Our state-of-the-art approach incorporates ultrasonic cleanings, utilizing the Cavitron and laser for a superior and time-saving experience.

Less time at the dentist

Make the most of your time by spending less in the dental chair. Swift seating, efficient teeth cleaning, and a speedy completion. It’s a hassle-free and efficient process.

Saving cash

Today Dental values your savings. Our commitment to efficiency, utilizing lasers and ultrasonic scalers, has reduced cleaning appointment times, ensuring cost savings that we pass on to you.

Comfort-focused cleanings

Ensure pain-free dental cleanings at Today Dental of Flower Mound, where technology and a gentle touch come together. Explore our three sedation options—IV sedation, conscious sedation, and nitrous oxide—for a comfortable and personalized experience.

Soft hands cleanings

No one appreciates being poked and prodded! Heavy-handed dental cleanings are against our values at your Flower Mound dentist. We use only fingertip pressure, ensuring your teeth are cleaned without any chair-induced discomfort.

Better Teeth Better Health

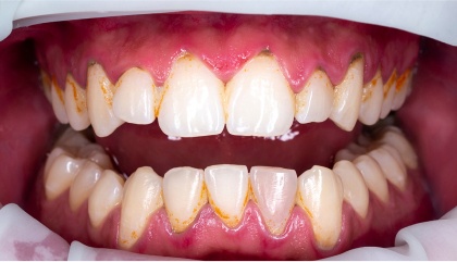
before
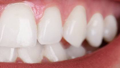
after
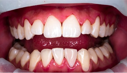
before
after
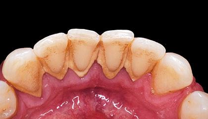
before
after
before
after

Opening Hours

DayHours
Monday8:30 a.m. - 5:30 p.m.
Tuesday8:30 a.m. - 5:30 p.m.
Wednesday8:30 a.m. - 5:30 p.m.
Thursday8:30 a.m. - 5:30 p.m.
Friday8:30 a.m. - 3:00 p.m.
Saturday8:00 a.m. - 2:00 p.m.
SundayClosed

YOUR Flower Mound TEAM

Flower Mound Office
Flower Mound Office
Flower Mound Office
Flower Mound Office
Flower Mound Office
Flower Mound Office
Flower Mound Office
Flower Mound Office
Flower Mound Office
AP
Asvini P.

Went there today for an emergency visit .Got the same day appointment which was very convenient. Dr.Kim was very good and explained everything very well. All the staffs are very friendly and helpful. Will definitely recommend this clinic.

AG
Alfonso G.

Really great service. Everyone was super friendly and helpful. I just moved to the area and I am glad I found a new dentist.

KJ
Kristina J.

The staff at this location are exceptional in every way! Visiting the dentist is rarely fun but they make it fun and always make me and my entire family feel so comfortable! I highly recommend Today Dental to everyone!

JG
Joyce G.

Accommodating as to schedule, personable as to style of patient engagement, responsive as to questions and concerns, and talented and competent as to current application of best practices. A delight overall.

You’ve made it this far. . .

FREE Teeth Whitening

Just ask at your first visit

Your Flower Mound DENTAL cLEANING EXPERTS

Frequently Asked Questions

Can I schedule an appointment for today?

We understand the value of your time and strive to accommodate your needs. Today Dental prioritizes scheduling same-day appointments whenever possible. In the unlikely event our office is closed, we will gladly connect you with an appointment at our nearby sister clinic.

What is an ultrasonic cleaning?

Today Dental utilizes advanced ultrasonic cleaning technology for a gentle and efficient cleaning experience. This innovative approach employs high-frequency sound waves and a specialized solution to effectively remove plaque, tartar, and stains from your teeth. It offers a more comfortable alternative to traditional cleaning methods.

I may need a "deep cleaning," can you help?

Absolutely! Our experienced team at Today Dental of Flower Mound possesses extensive expertise in scaling and root planing (deep cleanings). We conduct a thorough oral health evaluation to tailor a personalized treatment plan specifically for your individual needs. Personalized care is our core value.

Can I get a regular cleaning when I know I need a "deep cleaning"?

While regular cleanings are essential for maintaining good oral health, they are not recommended for individuals requiring a deep cleaning due to gum disease. A deep cleaning addresses more advanced plaque and tartar buildup below the gumline, requiring specific treatment protocols. In some instances, a preliminary debridement cleaning might be suitable to prepare the teeth above the gumline for your upcoming deep cleaning appointment.

How long will my appointment take?

The duration of your appointment depends on several factors, including whether you are a new or existing patient and the type of procedure required. Typically, routine cleanings with exams and X-rays take approximately one hour for returning patients and one and a half hours for new patients. Deep cleanings (scaling and root planing) typically require a separate appointment and can last anywhere from one to three hours, depending on the severity of the case.