We Do the Impossible…

Pain Free Root Canals

Fingers crossed you don’t need it, but if you do, we’re here to help

Your Flower Mound Dentist

Owners of Today Dental

Today Dental Group Photo Flower Mound

Yes, pain free root canals!

Trust Today Dental of Flower Mound for pain-free root canals, expertly designed to save your tooth and provide relief. Experience the comfort of our root canal procedure, similar to a routine dental filling.

Reduced appointment time

Optimize your schedule with Today Dental of Flower Mound’s efficient root canal therapy, utilizing the latest dental innovations to reduce appointment times. Choose more family moments and less time in the dental office.

Root canals done to last!

End your pain with our ultra-clean root canals! Trust our unwavering quality standards, incorporating the latest technology and materials to tailor a solution that keeps your tooth healthy and strong.

Savings!

Cost-effective dentistry in Flower Mound! Our dentist enhances the efficiency of root canal appointments, offering affordable treatments for a remarkable dental experience that aligns with your budget.

Dentists with experience

Our commitment to learning is evident through hours dedicated to Continuing Education courses. Stay informed and confident in our expertise as we keep up with the newest techniques in root canal treatment.

Conservative design

Seeking excellence in root canal care? Our clinic specializes in conservative approaches, ensuring the preservation of natural tooth structure through minimally invasive root canal therapy.

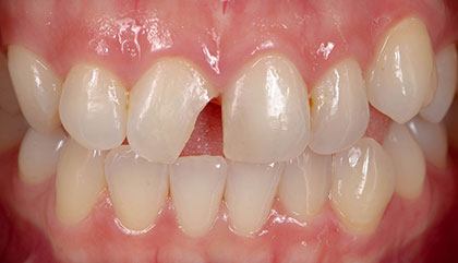
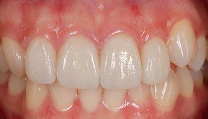
Our Superpower is Saving Teeth

before
after
before
after
before
after
before
after

Opening Hours

DayHours
Monday8:30 a.m. - 5:30 p.m.
Tuesday8:30 a.m. - 5:30 p.m.
Wednesday8:30 a.m. - 5:30 p.m.
Thursday8:30 a.m. - 5:30 p.m.
Friday8:30 a.m. - 3:00 p.m.
Saturday8:00 a.m. - 2:00 p.m.
SundayClosed

YOUR Flower Mound TEAM

Flower Mound Office
Flower Mound Office
Flower Mound Office
Flower Mound Office
Flower Mound Office
Flower Mound Office
Flower Mound Office
Flower Mound Office
Flower Mound Office
AP
Asvini P.

Went there today for an emergency visit .Got the same day appointment which was very convenient. Dr.Kim was very good and explained everything very well. All the staffs are very friendly and helpful. Will definitely recommend this clinic.

AG
Alfonso G.

Really great service. Everyone was super friendly and helpful. I just moved to the area and I am glad I found a new dentist.

KJ
Kristina J.

The staff at this location are exceptional in every way! Visiting the dentist is rarely fun but they make it fun and always make me and my entire family feel so comfortable! I highly recommend Today Dental to everyone!

JG
Joyce G.

Accommodating as to schedule, personable as to style of patient engagement, responsive as to questions and concerns, and talented and competent as to current application of best practices. A delight overall.

You’ve made it this far. . .

FREE Teeth Whitening

Just ask at your first visit

Your Flower Mound ROOT CANAL EXPERTS

Frequently Asked Questions

Root canal jitters? We've got you covered!

Modern techniques and local anesthesia ensure root canals are a comfortable experience. Many patients report feeling minimal to no discomfort during the procedure, making it less stressful than you might imagine.

Root canals and tooth strength?

It's true that larger back teeth, especially molars, can be more susceptible to fractures after a root canal due to losing their blood supply. However, this risk is minimal, and dentists often recommend a crown on back teeth after the procedure for added protection. Front teeth typically don't require crowns following a root canal.

Time is of the essence?

At Today Dental of Flower Mound, we understand your need for prompt care and prioritize your comfort. We dedicate specific slots in our schedule for same-day root canals, aiming to get you out of pain and back to your daily life as quickly as possible. In the unlikely event our office is closed, we'll collaborate with our partner clinic to connect you with immediate care.

Pain-free doesn't always mean problem-free: Understanding the hidden truth.

A crucial point to remember is that a root canal might be necessary even when you experience no pain. This often indicates the tooth is already "dead" (lacking a nerve), explaining the absence of discomfort. However, the infection inside the tooth can still spread and lead to serious complications like abscesses if left untreated. Our dentists utilize advanced diagnostic tools, including X-rays, to uncover the true condition of your tooth and recommend the most effective treatment option.

Extraction vs. Root Canal?

While extracting a tooth might seem like a simpler solution initially, it can lead to significant financial burdens down the line. Replacing a missing tooth with implants or dentures can be considerably more expensive than saving the natural tooth with a root canal (and potentially a crown). Additionally, each tooth plays a crucial role in maintaining the structure and function of your jaw, preventing surrounding teeth from shifting and causing misalignment. Choosing a root canal can not only save you money but also contribute to a long-term healthy and stable smile, preserving your natural teeth for optimal chewing and aesthetics.