
Your Flower Mound Dentist

Opening Hours
Day | Hours |
---|---|
Monday | 8:30 a.m. - 5:30 p.m. |
Tuesday | 8:30 a.m. - 5:30 p.m. |
Wednesday | 8:30 a.m. - 5:30 p.m. |
Thursday | 8:30 a.m. - 5:30 p.m. |
Friday | 8:30 a.m. - 3:00 p.m. |
Saturday | 8:00 a.m. - 2:00 p.m. |
Sunday | Closed |
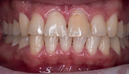
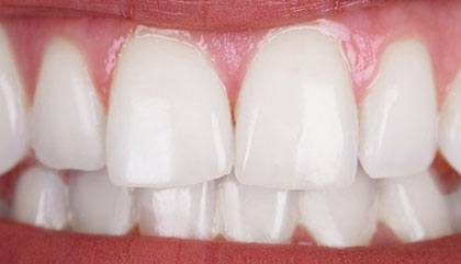
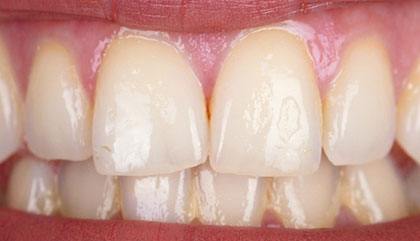
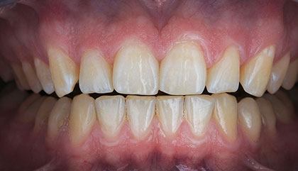
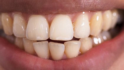
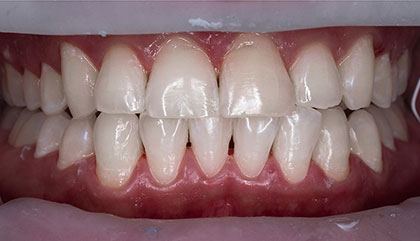
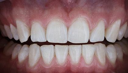
Your Flower Mound WHITENING EXPERTS
Frequently Asked Questions
I'm curious about the timeframe.
Consider professional whitening (Zoom/Boost) for a quicker and more effective solution. It takes about an hour and uses stronger gels with light activation, unlike take-home kits.
Considering I have veneers and crowns, are there any limitations to this whitening process?
Although whitening won't affect veneers or crowns, your smile goals are within reach! Your Today Dental of Flower Mound dentist can explore alternative solutions.
I'm interested in the cost of this service.
Enjoy free teeth whitening! Today Dental of Flower Mound offers complimentary teeth whitening kits, including custom trays, gel, and a case, to all our patients. We'll happily replace lost trays and refill your gel free of
Is teeth whitening something I should explore?
Whiten with confidence, but with the right information! We encourage bright smiles at Today Dental, but we also prioritize responsible whitening. We assess various factors like your teeth's current condition, oral health, and desired outcome to determine suitability. Generally, whitening works well for stains caused by age, food/drinks, and smoking, but it may not be recommended for untreated cavities, gum disease, or other dental issues. Remember, overuse or improper use of whitening products can lead to sensitivity and complications, so always seek professional guidance.
I'm curious if I'm old enough for teeth whitening.
Thinking of whitening? Wait a bit! Teeth whitening is typically not recommended for individuals under 16 at Today Dental. This is because their teeth are still developing and more sensitive. We can help you decide if waiting is best or explore alternative options for a brighter smile in the future.